審美歯科
審美歯科は、機能面だけでなく、見た目の美しさも重視した歯科治療です。佐賀大和の歯医者小川歯科医院では、天然の歯と変わらない見た目を実現するセラミックなどの素材を使用し、美しい口元を実現しています。
小川歯科医院の審美歯科治療

佐賀大和の歯医者小川歯科医院では、歯の美しさを総合的に修復する審美治療を行っています。審美歯科では、事故などにより歯が欠けてしまった場合でも、天然の歯と変わらないような見た目と機能性を併せ持つ歯に修復することができます。また、保険治療でむし歯を治療した際に使用する金属の詰めものや被せものを自然な白い色に変えることも可能です。
審美治療では、見た目の美しさと機能性の両方を実現するために保険治療では使用できない材料を用います。自費治療となるため治療費用は高額になりますが、患者さまの歯の色に合わせた素材を使用でき、治療後は美しい仕上がりになります。
前歯が気になる場合の治療法
前歯は人目につきやすいため、変色していたり、デコボコしていたりすると気になる方も多いのではないでしょうか。前歯を美しくする治療法には次の治療法がおすすめです。
-

セラミッククラウン
セラミッククラウンは、天然の歯のような白さとツヤを持つセラミック素材でつくった被せものです。患者さまの歯の色に合わせて色味を調整できるため、自然な色の歯を再現できます。
-

ラミネートベニア
ラミネートベニアは、歯の表面を薄く削り、その上にセラミック製の薄い板を接着する治療法です。前歯が変色していたり、歯と歯の間に隙間があったりする場合などに用いられるほか、歯の形を整えたいときにも用いられます。ラミネートベニアは耐久性も高く、短い治療期間で歯を美しく変えられる治療法です。
奥歯の治療におすすめなメタルフリーの詰めもの
保険治療では、奥歯には銀歯と呼ばれる金属の詰めものをします。銀歯は、見た目に目立つだけでなく、長期的に使用すると金属アレルギーを引き起こすリスクがあります。また、金属イオンが溶けだして、歯ぐきが黒ずんでしまうケースもあります。
審美治療では金属を一切使わない白い詰めもので奥歯の治療ができるため、金属アレルギーなどの心配が要りません。
-

セラミックインレー
セラミックインレーは、天然の歯の色に近いセラミックを使って製作した詰めものです。周りの歯の色と似せられるため、治療跡が目立たず美しい仕上がりとなります。また、金属を使用していないため金属アレルギーの心配もありません。
審美歯科の素材「エステニア」
エステニアは、セラミックと合成樹脂であるコンポジットレジンを配合してつくったハイブリッドセラミックの一種です。
セラミックは強い力で噛みしめた場合には割れてしまうケースがありますが、エステニアは天然の歯と同じ程度の硬さを持つ素材です。そのため、歯ぎしりをする方や歯を食いしばる習慣のある方の奥歯の治療にも適しています。
ダイレクトボンディング

セラミックに近い審美性を持つ樹脂(レジン)を、直接歯に盛り付けていくダイレクトボンディング。自費のダイレクトボンディングで使われる硬質樹脂は、ナノテクノロジーを取り入れた先端技術を使用しており、天然歯に近い色調を再現することが可能です。
マイクロスコープや拡大鏡を用いて精密なダイレクトボンディング治療を行いますので、「すき間ができにくい」「むし歯になりにくい」「歯をほとんど削らない」といったメリットを得られます。
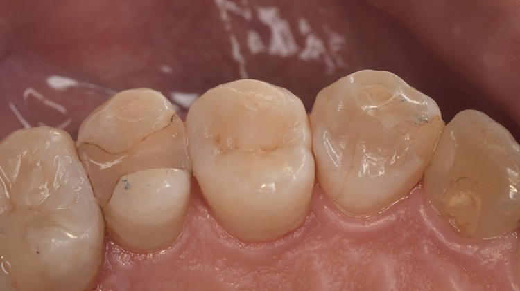
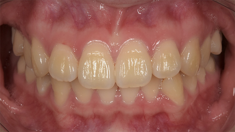
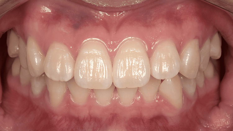
ダイレクトボンディングの症例
![]() ダイレクトボンディング前 |
![]() ダイレクトボンディング後 |
| 治療内容 | ダイレクトボンディング |
|---|---|
| 治療期間・回数 | 1日・1回 |
| 費用 | 55,000円(税込) |
| リスク・副作用 | 歯ぎしりなどによって欠ける可能性がございます。 |
審美歯科のよくある質問
-
審美歯科とは口元を総合的に美しく整える治療です。審美歯科ではセラミックなどの素材を使って歯の形を整えたり、歯のすき間を改善したり、むし歯の治療跡を白くしたりする治療を行います。佐賀大和の歯医者小川歯科医院では、患者さまのご希望とお口の状態に合わせてラミネートベニアやセラミックインレーなどの治療をご提案しています。
-
使用する素材や治療法によって治療費は異なります。治療する部分によって適する治療法や素材が変わるため、審美治療を成功させるためには患者さまとしっかり話し合って治療のゴールを決めることが重要です。まずは、ご希望やご予算をお伝えください。
関連記事
ホワイトニング
佐賀大和の歯医者小川歯科医院では、白く輝く歯を実現するホワイトニングの施術を行っています。
歯を削らずに白くするホワイトニング

歯は、加齢や食べ物に含まれている色素の沈着などによって黄ばんできます。ホワイトニングは、歯の表面に薬剤を塗り、歯の色を白くする施術です。薬剤が歯の色素を分解するため、歯を削ることなく白さを手に入れられます。
ホワイトニングはこんな方におすすめ
- 歯の黄ばみが気になっている方
- タバコのヤニで歯が黄色くなっている方
- 歯に色素沈着がみられる方
- 歯の一部に黒ずみがある方
小川歯科医院のホワイトニング
佐賀大和の歯医者小川歯科医院では、最新式のホワイトニングシステム「ビヨンドホワイトニングシステム」を使用したオフィスホワイトニングを行っています。コーヒーや紅茶、タバコなどによる着色汚れや加齢による歯の黄ばみ、抗生物質による変色にも効果が期待できます。
また、患者さまがご自宅で行うホームホワイトニング、より効果を実感しやすいデュアルホワイトニング、神経がない歯を白くするウォーキングブリーチも行っています。
-

歯科医院で行う「オフィスホワイトニング」
歯にホワイトニング剤を塗布し、専用のライトを照射して歯を漂白します。オフィスホワイトニングは歯科医師が施術をするため、白さにムラが出る心配もなく、短期間で効果を実感できるというメリットがあります。
-

ご自宅で行う「ホームホワイトニング」
ご自宅で患者さま自身が行うホワイトニングです。歯型に合わせたマウスピースを製作し、マウスピース内に低濃度の薬剤を入れて装着すると、歯が徐々に白くなっていきます。ホームホワイトニングは効果が長持ちしやすく、オフィスホワイトニング比べて通院回数が少なくて済むというメリットがあります。
-
オフィス+ホームで効率よく歯を白くする「デュアルホワイトニング」
デュアルホワイトニングは、即効性のあるオフィスホワイトニングと持続性のあるホームホワイトニングを併用し、効率よく歯を白くするホワイトニング法です。短期間で白さを実現でき、白さを長期間維持しやすいというメリットがあります。
-

神経がない歯のホワイトニング「ウォーキングブリーチ」
何らかの理由で神経がなくなってしまった歯は、変色しやすくなります。ウォーキングブリーチは、神経がない歯を白くするホワイトニング法です。
ウォーキングブリーチでは、対象の歯の内部に薬剤を注入して歯を白くします。かつてはウォーキングブリーチの効果は限定的でしたが、昨今では薬剤も改良が進み、神経がない歯のホワイトニング効果も高まっています。
セルフ・サロンホワイトニングとの違い
市販の器具やサロンで行うホワイトニングとは異なり、歯科医院で行う医療ホワイトニングは、しっかりとした効果と安全性の料率が可能です。
※表は左右にスクロールして確認することができます
| 項目 | セルフホワイトニング | ホワイトニングサロン | 医療ホワイトニング(当院) |
|---|---|---|---|
| 施術者 | ご自身でライトを照射 | 美容スタッフ(無資格) | 歯科医師・歯科衛生士(国家資格) |
| 使用薬剤 | 市販ジェル(漂白成分なし) | 低濃度薬剤(漂白効果は限定的) | 医療用の高濃度ホワイトニング剤 |
| 白くなる仕組み | 歯の表面の汚れを落とす | 表面のみを一時的に明るくする | 歯の内部(エナメル質内)の色素を分解・漂白 |
| 効果の持続 | 数日〜数週間程度 | 約1か月程度 | 約3〜6か月(再着色しにくい) |
| 安全性 | 医療監修なし/自己責任 | 歯科的トラブル対応不可 | 歯科医師によるチェック・安全管理のもとで施術 |
| 費用の目安 | 1回 約2,000〜5,000円 | 1回 約5,000〜10,000円 | 上下1回 25,000円(税込) |
オフィスホワイトニングの流れ
佐賀大和の歯医「小川歯科医院で行っているオフィスホワイトニングの流れをご紹介します。
-
1.ブラッシング
ホワイトニング専用の歯磨き粉を使って、歯全体のブラッシングを行います。
-
2.写真撮影
ホワイトニングの効果を確認するために施術前の歯の写真を撮ります。
-
3.開口器とメガネの装着
唇や舌を保護するために開口器をと専用のメガネを付けていただきます。
-
4.歯ぐきの保護
歯と歯ぐきの境目に薬剤を塗布し、光を照射して薬剤を固めます。
-
5.ホワイトニング剤の塗布
歯を白くする薬剤を歯に塗布します。歯ぐきや唇に薬剤が付着してしまった場合、ヒリヒリしたり、白くなったりすることがあります。個人差はありますが、数日で治りますのでご安心ください。
-
6.専用の光を照射
薬剤を塗布した歯に10分間、光を照射します。10分間の照射を3回行ったら、終了です。
-
7.ホワイトニング剤の吸引
照射が終わったらホワイトニング剤を吸引し、歯ぐきの保護の薬剤を除去します。開口器とメガネを外したら、再度歯全体のブラッシングをします。
-
8.写真撮影・完了
ホワイトニング後の歯の状態を写真に撮り、施術前と比較します。1週間後に2回目のホワイトニングを行うと、より白さを実感しやすく、効果を長く維持できます。
オフィスホワイトニングの症例
![]() ホワイトニング前 |
![]() オフィスホワイトニング後 |
| 治療内容 | オフィスホワイトニング |
|---|---|
| 治療期間・回数 | 1日・1回 |
| 費用 | 25,000円(税込) |
| リスク・副作用 | 一時的な知覚過敏 |
よくある質問
-
クリーニングは歯の表面に付着した汚れを落とし、歯をきれいにする治療です。ホワイトニングは薬剤を使用して、歯そのものの色を白くする施術です。
-
むし歯があると薬剤がしみたり、痛みを感じたりする可能性があります。そのため、まずむし歯の治療を行ってからホワイトニングの施術をおすすめします。
-
一般的に、3~6ヶ月程度で後戻りが見られます。また、喫煙習慣のある方やコーヒーや赤ワイン等の濃い色の食品を摂る機会が多い方は、効果が短くなる傾向にあります。白さを維持するためには定期的なホワイトニングをおすすめします。
-
- 10代の方
- 妊娠中や授乳中の方
- 無カタラーゼ症の方
- 知覚過敏の方
- エナメル質や象牙質の形成不全の方
以上の方は、ホワイトニングは控えた方が賢明です。また、光線アレルギーの方は光を照射するオフィスホワイトニングは受けられません。



