セラミック治療〜長持ちの秘訣は“接着”と“ラバーダム防湿”〜
セラミック治療は、白く自然な見た目に仕上がるため、審美性の高い人気の治療法です。
しかし、「セラミックが外れた」「割れた」「数年で隙間ができた」といったお悩みも少なくありません。
その差を生む大きな要因が、**「接着の精度」と「ラバーダム防湿の有無」**です。

■ セラミック治療は“接着”が命
セラミックは、歯への接着がしっかり行われていないと、外れやすくなったり、内部で虫歯が再発してしまうことがあります。
小川歯科医院(佐賀大和)では、接着ステップを最も重要な工程の一つと考えています。
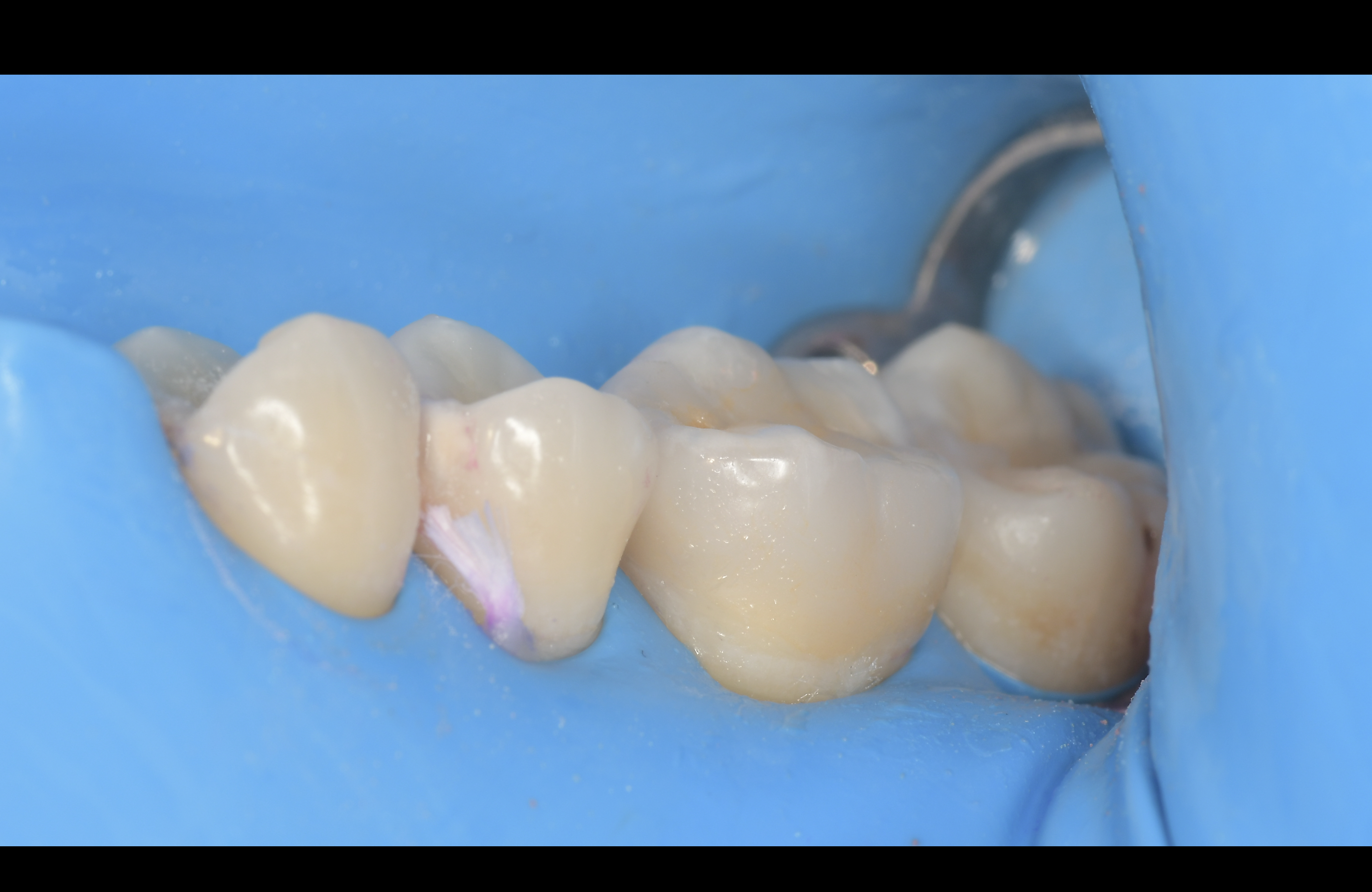
ラバーダムシートの装着、歯面の清掃・表面処理、セラミックの前処理、接着剤の塗布、硬化、マイクロスコープによるセメント除去といった一連の工程を科学的根拠に基づいて丁寧に管理しています。
その結果、しっかりと接着されたセラミックは、見た目の美しさを長く保ち、再治療のリスクを大幅に減らすことができます。
■ ラバーダム防湿で接着の精度を最大化
接着を成功させるために欠かせないのが、ラバーダム防湿です。
ラバーダムとは、治療する歯のまわりを薄いゴムのシートで覆い、唾液中の細菌による汚染や湿気を完全に遮断する処置のこと。
この防湿を行うことで、歯の表面が常に乾燥した清潔な状態に保たれ、接着剤が最大限の性能を発揮します。
逆に、唾液がわずかでも混ざると、接着力が低下し、剥がれやすくなったり隙間から虫歯が再発するリスクが高まります。
小川歯科医院では、セラミック治療のすべての接着工程でラバーダム防湿を徹底。
さらに、湿度や温度などの環境要因にも配慮し、確実で科学的な接着操作を行っています。
これにより、再治療になりにくく、長持ちするセラミック治療を実現しています。
■ 精密な環境(マイクロスコープ)での接着操作
当院ではマイクロスコープ(歯科用顕微鏡)を使用し、**正確な支台歯形成や印象(型取り)**を行います。
セラミックの装着時にも、歯とセラミックの境目を拡大して確認しながら、セメントの取り残しがないよう細部まで丁寧に処理しています。
これにより、治療直後の美しさだけでなく、長期的な安定と健康な歯の維持につながります。

■ まとめ
セラミック治療の仕上がりや持ちは、見た目よりも**“接着の質”**で決まります。
「佐賀市でセラミック治療を検討している」「長持ちする治療を受けたい」
そんな方は、ぜひ一度当院へご相談ください。
小川歯科医院(佐賀大和)では、見た目の美しさだけでなく、確かな接着と防湿による長期安定性を追求しています。