お知らせ・ブログ・症例紹介
-
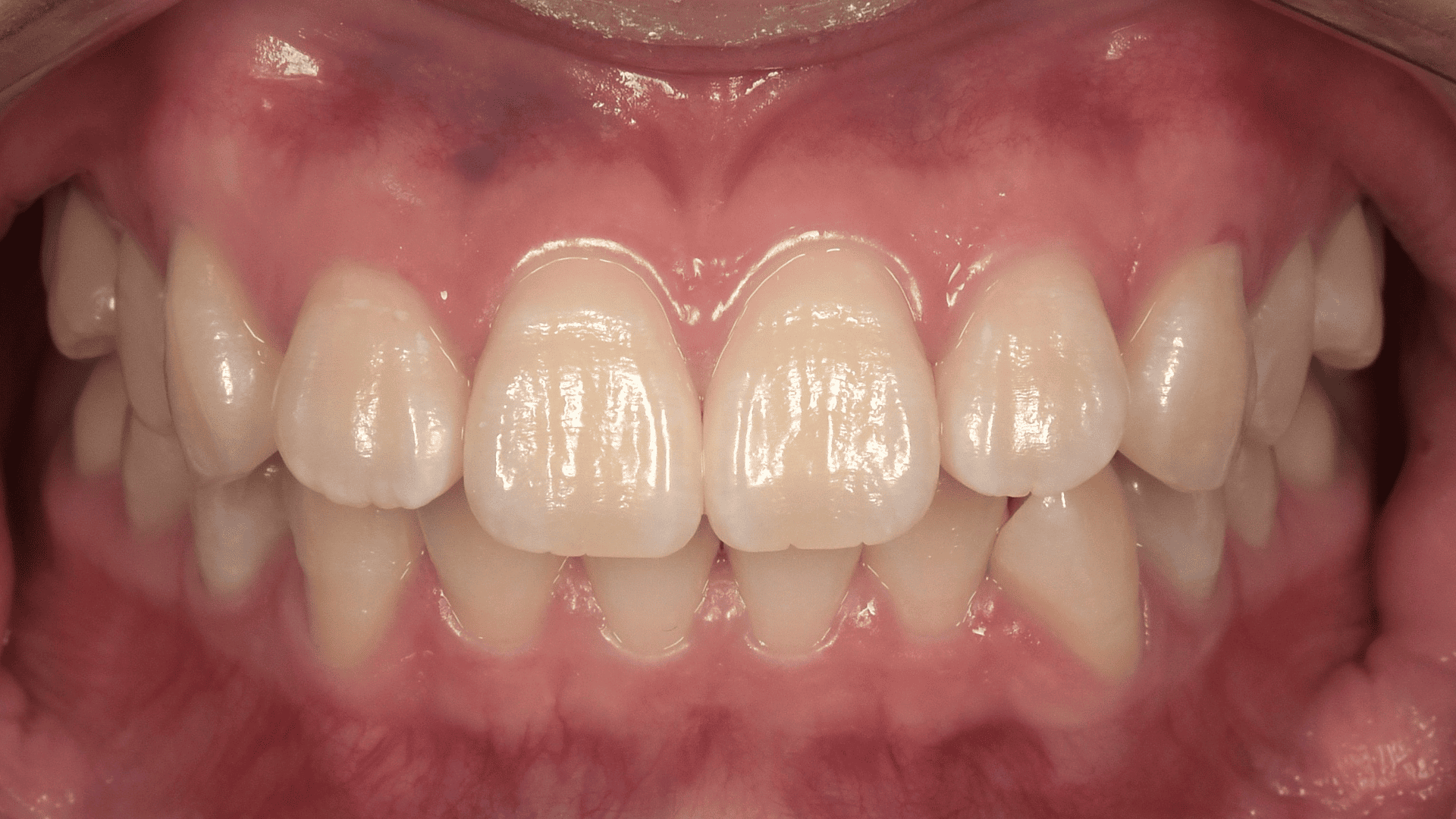
2025.10.20
オフィスホワイトニング症例(歯医者さんで行うホワイトニング)
-
2025.10.11
奥歯のダイレクトボンディング
-
2025.10.09
佐賀市・佐賀大和でダイレクトボンディング治療をお考えの方へ 〜削る量を最小限に、美しく自然な仕上がりを〜
〜削る量を最小限に、美しく自然な仕上がりを〜 「できるだけ歯を削りたくない」「また虫歯になりたくない」 そんな方におすすめの治療法が、ダイレクトボンディング… -
2025.10.09
セラミック治療〜長持ちの秘訣は“接着”と“ラバーダム防湿”〜
セラミック治療は、白く自然な見た目に仕上がるため、審美性の高い人気の治療法です。 しかし、「セラミックが外れた」「割れた」「数年で隙間ができた」といったお悩み… -
2025.10.05
虫歯が深くても神経を抜かない!?
虫歯が深いと「神経を取らないといけません」と言われ、不安に感じたことはありませんか? 実は、ある研究では「奥歯の神経を取ると、その歯の抜歯リスクは7.4倍に高まる… -
2025.09.26
ラバーダム防湿とは?安心・安全な歯科治療のために
歯科治療を受けているときに、口の中に小さな青や緑のシートのようなものがかけられて「これ何だろう?」と思ったことはありませんか? そのシートは 「ラバー… -
2023.12.08
e-max インレー
-
2023.09.02
若々しさはお口から!“オーラルフレイル”という言葉をご存知ですか?
初めまして小川歯科医院 院長の小川清文です。 今後、ブログを通してお口の健康に関する情報を発信していきたいと思います^ ^ 今回は“オーラルフレイル&rdqu… -
2023.06.29
ホームページリニューアルのお知らせ
平素より「小川歯科医院」のホームページをご覧いただき、誠にありがとうございます。 この度、ホームぺージをリニューアル致しました。 これからも、引き続き皆様へ…