TOP
コンセプト
アクセス
医院情報
アクセス
最適な治療計画の意味
お知らせ
診療案内
むし歯治療
予防歯科
歯周病
矯正歯科
小児歯科・矯正
審美・ホワイトニング
インプラント
入れ歯
マイクロを使った精密治療
症例紹介
スタッフ紹介
求人案内
24時間受付中
WEB予約
0952-62-0061
Blog
症例紹介
ホーム
お知らせ・ブログ・症例紹介
症例紹介
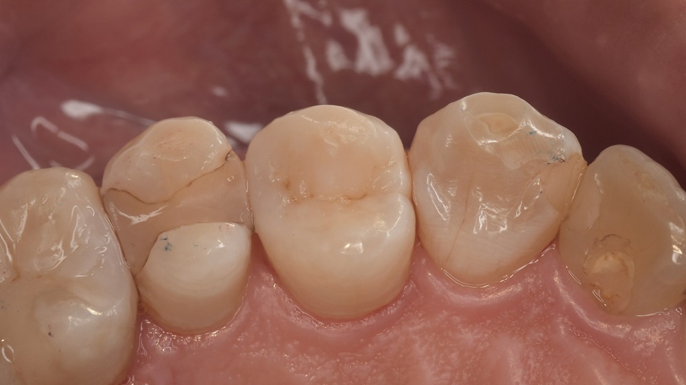
奥歯のダイレクトボンディング
奥歯のダイレクトボンディング症例
症例情報
症例タイトル
ダイレクトボンディング
患者さまの主訴
むし歯を治したい。むし歯の再発リスクを抑えたい
患者さまの年齢
40歳
患者さまの性別
男性
治療期間
1日
治療にかかった総額
55000円
治療する際に起こるメリット
虫歯の再発リスクを抑えます
治療する際に起こるリスク・副作用
歯ぎしりなどによってか欠け可能性がございます。
前の記事へ
一覧に戻る
次の記事へ