TOP
コンセプト
アクセス
医院情報
アクセス
最適な治療計画の意味
お知らせ
診療案内
むし歯治療
予防歯科
歯周病
矯正歯科
小児歯科・矯正
審美・ホワイトニング
インプラント
入れ歯
マイクロを使った精密治療
症例紹介
スタッフ紹介
求人案内
24時間受付中
WEB予約
0952-62-0061
Blog
症例紹介
ホーム
お知らせ・ブログ・症例紹介
症例紹介
オフィスホワイトニング症例(歯医者さん…
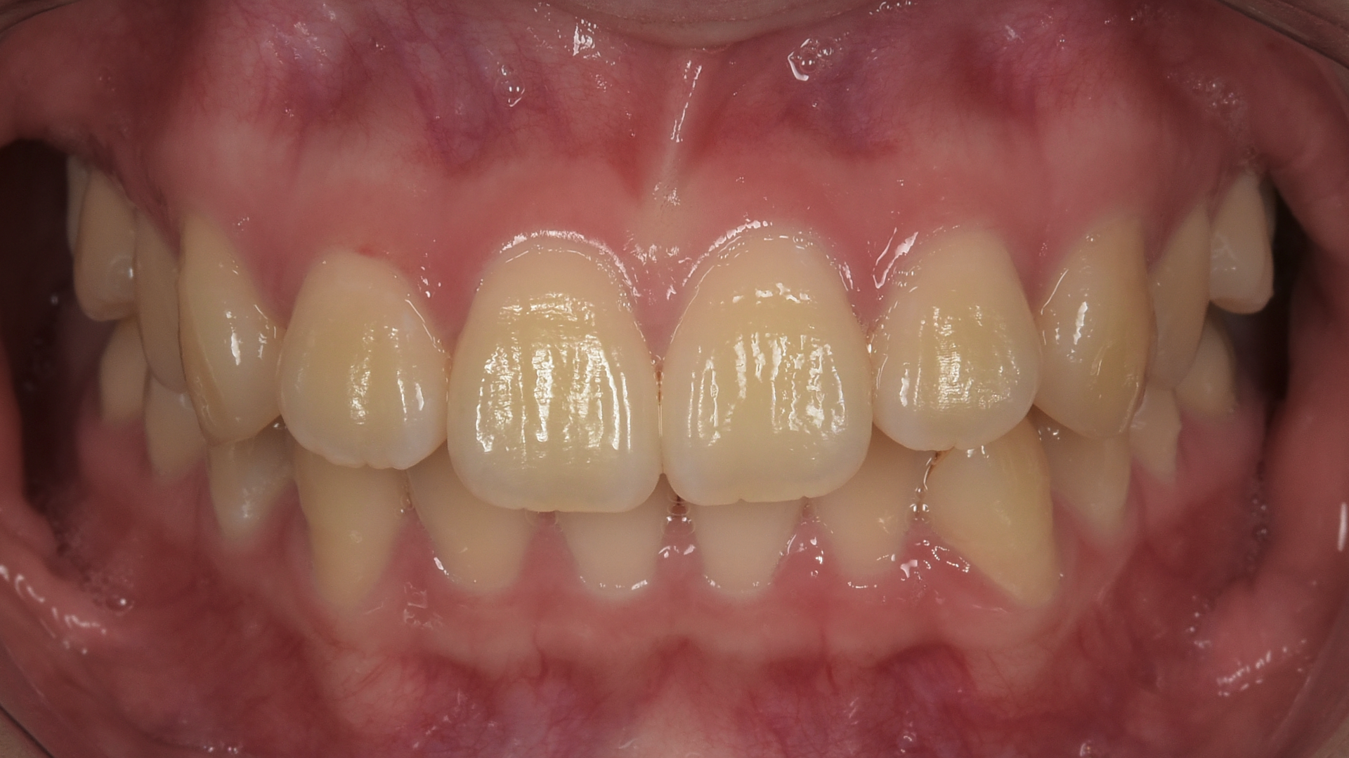
術前
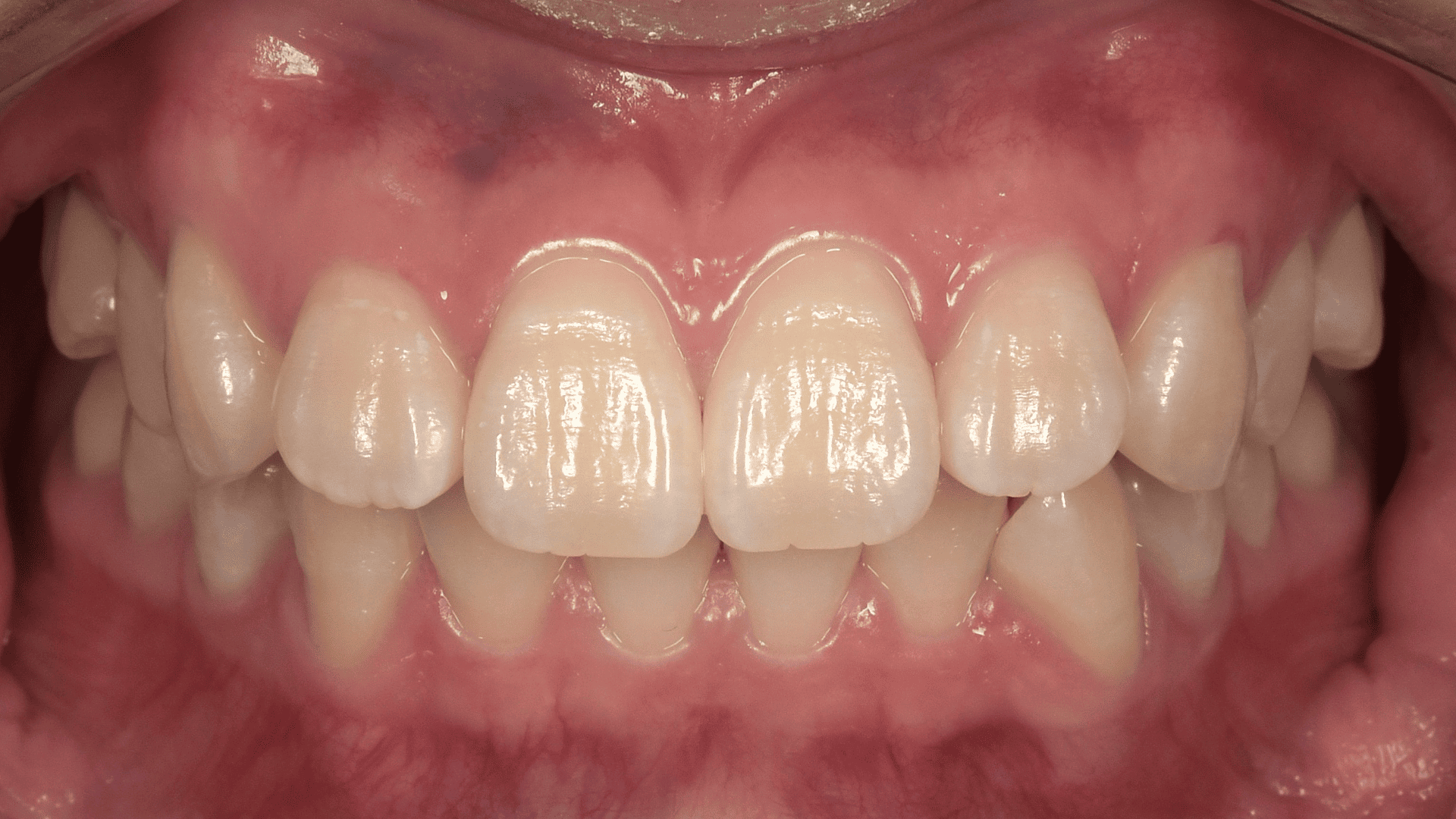
術後
症例情報
症例タイトル
オフィスホワイトニング
患者さまの主訴
歯の黄ばみが気になる
治療内容
オフィスホワイトニング
患者さまの年齢
20代
患者さまの性別
女性
治療期間
1回
治療にかかった総額
25000円(税込)
治療する際に起こるリスク・副作用
一時的な知覚過敏
前の記事へ
一覧に戻る